小鼠细胞

- 小鼠单核巨噬细胞白血病细胞
- 恒远生物致力于建设国内最大、种类最全的细胞与微生物标准制品资源库,为大学、科研机构及生物医药研发企业提供高质量、可回溯、品控可靠的生物制品。主要包括原代细胞及通用细胞株、细胞培养周边试剂、微生物标准品等产品的开发、生产、储存和销售。欢迎来电咨询!
|
基本信息 |
|
|
资源编号 |
HYCC20016 |
|
资源名称 |
小鼠单核巨噬细胞白血病细胞;RAW264.7 |
|
种属 |
RAW 264.7 |
|
类型 |
贴壁生长 |
|
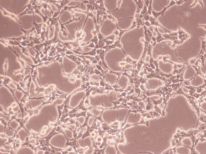
形态 |
CM1-1培养液中,贴壁,不规则形,有圆形、短粗的梭形 |
|
分离基物 |
小鼠,雄;成年,Abelson鼠科白血病病毒诱导的肿瘤;单核细胞;巨噬细胞 |
|
提供形式 |
复苏形式:T25培养瓶1瓶;或者冻存形式:2ml冻存管2支,干冰费另计。 |
|
安全等级 |
1 |
|
模式菌株 |
未知 |
|
培养方法 |
|
|
传代方法 |
将旧培养液吸除,PBS清洗两遍后,无须使用胰酶消化,直接加入12mL(/100mm皿)培养液,用吸管吹打细胞至完全脱落,轻轻吹打均匀,后可分3~6皿培养; |
|
生长条件 |
37℃,5%CO2,CM1-1培养液。CM1-1培养液:90%DMEM-H+10%FBS。DMEM-H:DMEM高糖培养液,含谷氨酰胺,含丙酮酸钠。 |
|
生长特性 |
此株细胞在培养过程中,与国内建系的细胞对比,有少量的触角,贴壁相对牢,但不用胰酶消化,胰酶消化容易刺激其分化 |
|
存储条件 |
冻存则将细胞转移至离心管中,(110g,3min)离心,离心完成后用6mL冻存液(90%FBS+10%DMSO)重悬细胞,吹打均匀,分为6支冻存管,用程序降温盒于-80℃冻存,过夜转移至液氮中保存。 |
人胚肺成纤维细胞
人SV40 转染成骨细胞
人胃癌细胞(未分化)
人原髓细胞白血病细胞
人肝细胞
人B 淋巴母细胞
人卵巢癌细胞
人高转移卵巢癌细胞
人正常乳腺细胞
人乳腺癌细胞
人纤维肉瘤细胞
人结肠癌细胞
人肝母细胞瘤细胞
人肝癌细胞
人T 淋巴细胞白血病细胞
人神经母细胞瘤细胞
人胚肺成纤维细胞
人胎盘绒毛癌细胞
人绒毛膜癌细胞
人T 淋巴细胞白血病细胞
人慢性髓原白血病细胞
人口腔表皮样癌细胞
人白血病细胞
人肾上腺神经母细胞瘤细胞(脑转移)
小鼠白血病细胞
大鼠成肌细胞
小鼠白血病克隆细胞系
小鼠成纤维细胞
仓鼠卵巢细胞
在线询价
- *
- *
- *
- *
- *
-
*
)_.jpg)
相关产品
小鼠宫颈癌细胞;U14
恒远生物致力于建设国内最大、种类最全的细胞与微生物标准制品资源库,为大学、科研机构及生物医药研发企业提供高质量、可回溯、品控可靠的生物制品。主要包括原代细胞及通用细胞株、细胞培养周边试剂、微生物标准品等产品的开发、生产、储存和销售。欢迎来电咨询!
查看详细小鼠肝细胞;AML12
恒远生物致力于建设国内最大、种类最全的细胞与微生物标准制品资源库,为大学、科研机构及生物医药研发企业提供高质量、可回溯、品控可靠的生物制品。主要包括原代细胞及通用细胞株、细胞培养周边试剂、微生物标准品等产品的开发、生产、储存和销售。欢迎来电咨询!
查看详细小鼠结缔组织L细胞株929克隆 L-929
恒远生物致力于建设国内最大、种类最全的细胞与微生物标准制品资源库,为大学、科研机构及生物医药研发企业提供高质量、可回溯、品控可靠的生物制品。主要包括原代细胞及通用细胞株、细胞培养周边试剂、微生物标准品等产品的开发、生产、储存和销售。欢迎来电咨询!
查看详细



