小鼠细胞

- 小鼠神经细胞瘤与大鼠神经胶质瘤之融合细胞 NG108-15 [108CC15]
- 恒远生物致力于建设国内最大、种类最全的细胞与微生物标准制品资源库,为大学、科研机构及生物医药研发企业提供高质量、可回溯、品控可靠的生物制品。主要包括原代细胞及通用细胞株、细胞培养周边试剂、微生物标准品等产品的开发、生产、储存和销售。欢迎来电咨询!
|
品牌 |
恒远生物 |
|
货号 |
HYCC20068 |
|
中文名称 |
小鼠神经细胞瘤与大鼠神经胶质瘤之融合细胞 NG108-15 [108CC15] |
|
英文名称 |
NG108-15 [108CC15] |
|
规格 |
T25 |
|
价格 |
1700 |
|
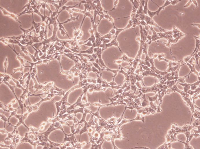
形态特性 |
成纤维细胞样 |
|
生长特性 |
贴壁生长 |
|
特征特性 |
NG108-15细胞株原名108CC15,由Bernd Hamprecht于1971年建立。这个细胞由小鼠N18TG2神经母细胞瘤细胞和大鼠C6-BU-1神经胶质瘤细胞在失活仙台病毒存在下融合而成。 |
|
培养条件 |
DMEM(高糖)+10%FBS |
|
传代方法 |
1:6-1:10传代,每周换液2-3次 |
|
冻存条件 |
无血清细胞冻存液 |
|
STR |
|
|
特别说明 |
本库的细胞系(株)仅用于科研工作,未经许可不得用于其他目的。使用者不得将本库细胞系(株)转让给第三者。 |
|
说明书 |
咨询业务员获取 |
细胞收到后处理
细胞在培养瓶中培养至良好状态后灌满完全培养液并封好瓶口是细胞运输的常见办法。收到细胞回到自己的实验室后,先打开外包装,用75%酒精喷洒整个瓶消毒后放到超净台内,严格无菌操作,培养箱静置2-4小时。镜下观察:未超过80%汇合度时,可将瓶装的完全培养液收集至离心管中,加入6ml完全培养基,放入37℃、孵箱培养;超过80%汇合度时,根据情况传代或者冻存,具体操作见细胞培养步骤。(注意发货的是密封培养瓶的话,处理完后放入培养箱培养记得培养瓶盖子拧松,传代后建议一瓶用原瓶里面的完全培养基,另外一瓶用自己配的完全培养基)
若是5%CO2的培养箱,可用密封培养瓶,拧紧瓶盖后放入5%CO2培养箱,48H内要换液一次
细胞培养步骤
1)复苏细胞:将含有1mL细胞悬液的冻存管在37℃水浴中迅速摇晃解冻,加入5mL培养基混合均匀。在1000RPM条件下离心5分钟,弃去上清液,补加4-6mL完全培养基后吹匀。然后将所有细胞悬液加入培养瓶中培养过夜(或将细胞悬液加入6cm皿中),培养过夜。第二天换液并检查细胞密度。
2)细胞传代:如果细胞密度达80%-90%,即可进行传代培养。
小鼠黑色素瘤细胞;B16-F1
小鼠黑色素瘤细胞;B16
小鼠乳腺癌细胞;4T1
小鼠视网膜神经节细胞株;RGC-5
小鼠肾小球系膜细胞;SV40-MES-13
小鼠胚胎瘤细胞;ATDC5
小鼠胚胎纤维细胞;STO
小鼠胚胎成纤维细胞;NIH/3T3
小鼠胚胎成纤维细胞;MEF
小鼠胚胎成纤维细胞;C3H/10T1/2
在线询价
- *
- *
- *
- *
- *
-
*
)_.jpg)
相关产品
小鼠前胃癌细胞 MFC
恒远生物致力于建设国内最大、种类最全的细胞与微生物标准制品资源库,为大学、科研机构及生物医药研发企业提供高质量、可回溯、品控可靠的生物制品。主要包括原代细胞及通用细胞株、细胞培养周边试剂、微生物标准品等产品的开发、生产、储存和销售。欢迎来电咨询!
查看详细AtT-20小鼠垂体瘤细胞
恒远生物致力于建设国内最大、种类最全的细胞与微生物标准制品资源库,为大学、科研机构及生物医药研发企业提供高质量、可回溯、品控可靠的生物制品。主要包括原代细胞及通用细胞株、细胞培养周边试剂、微生物标准品等产品的开发、生产、储存和销售。欢迎来电咨询!
查看详细小鼠脑神经瘤细胞;Neuro-2a
恒远生物致力于建设国内最大、种类最全的细胞与微生物标准制品资源库,为大学、科研机构及生物医药研发企业提供高质量、可回溯、品控可靠的生物制品。主要包括原代细胞及通用细胞株、细胞培养周边试剂、微生物标准品等产品的开发、生产、储存和销售。欢迎来电咨询!
查看详细



